STANDARD

02 32 88 89 90

JOINDRE UN PATIENT

02 32 88 11 11

Imagerie cardiaque, thoracique et écho doppler

Le Professeur Dacher vous parle de l’imagerie cardiaque, thoracique et écho doppler

L’unité fonctionnelle d’imagerie cardiovasculaire et thoracique est présente sur les 3 grands sites du CHU de Rouen : Charles Nicolle, Bois-Guillaume et Saint-Julien. Les outils disponibles sont la radiographie, l’écho Doppler, le scanner, le CBCT et l’IRM.

Les maladies du poumon (Dr Matthieu Demeyere, responsable)

Pour les pathologies pulmonaires, l’imagerie collabore étroitement avec les services de pneumologie et de chirurgie thoracique. Nous pratiquons le scanner thoracique et pulmonaire sur les 3 sites du CHU et participons aux soins via les réunions de concertation pluridisciplinaires.

L’activité interventionnelle (ponctions de nodules, drainages de collections, traitement de tumeurs par cryo- ou thermo-ablation) guidée par le scanner est en fort développement.

L’activité de recherche est significative et les thématiques incluent notamment les complications de la Covid19 ainsi que l’hypertension pulmonaire.

Les maladies cardiovasculaires (Pr Jean Nicolas Dacher, responsable)

En cardiovasculaire, le CHU de Rouen est reconnu au plan national pour l’exploration du cœur par le scanner et l’IRM. L’unité d’imagerie cardiovasculaire est partie prenante de l’Institut Alain Cribier des Valves Cardiaques et de la plateforme de recherche MiraclAI. Nous disposons de matériels haut de gamme et d’une équipe médicale et para médicale étoffée attirant de nombreux étudiants. Les thématiques de recherche incluent les maladies valvulaires cardiaques et l’étude des cardiomyopathies, notamment la Maladie de Fabry.

  • Le scanner: Nous pratiquons le scanner pour le dépistage et le traitement de la maladie coronaire, pour le bilan pré opératoire des valvulopathies aortiques (TAVI notamment) ou mitrales, des aortopathies thoraciques et abdominales ou pour le suivi des cardiopathies congénitales. Dans le domaine de la prévention cardiovasculaire, le score calcique est disponible sur les sites de Charles-Nicolle et Bois-Guillaume.
  • L’IRM: L’IRM cardiaque est largement utilisée dans le domaine des cardiopathies ischémiques (IRM de stress), des aortopathies (Flux 4D) et de tous les types de cardiomyopathies. Un lien étroit est établi entre l’équipe de radiologie clinique et l’unité INSERM EnVI de l’UFR Santé (Pr J Bellien).
  • L’écho doppler : les unités d’écho doppler (Charles-Nicolle, Bois-Guillaume, Saint-Julien) sont polyvalentes, équipées de matériels de haut de gamme et proposent de multiples explorations ; détection de thrombose veineuse, exploration et suivi des artériopathies des membres inférieurs, suivi des greffes rénales, exploration des artères de la tête et du cou, drépanocytose. L’écho doppler du CHU de Rouen s’est fait connaître grâce au programme de délégation de tâches aux manipulateurs/trices en électroradiologie.
IRM 4 cavités
IRM 4 cavités
Scanner sarcoidose
Scanner sarcoidose
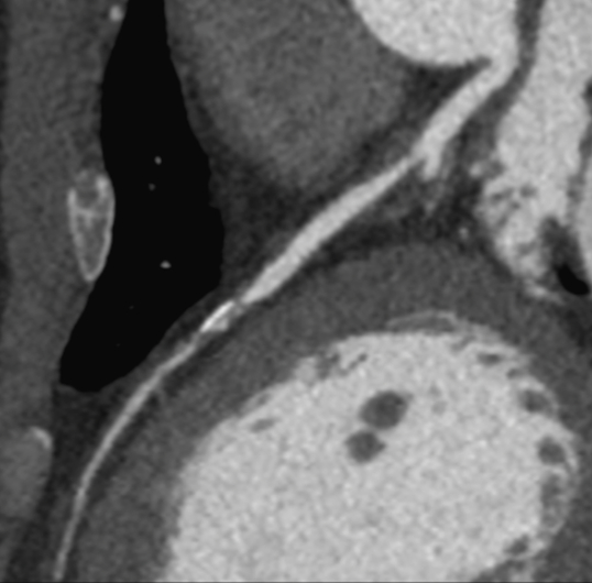
Scanner stenose coronaire
Scanner stenose coronaire

Liste des médecins

  • PR DACHER Jean-Nicolas

  • DR BEJAR Sofiane

  • DR BOCCALINI Sara

  • DR CHENNOUFI Hajer

  • DR DE MEYERE Mathieu

  • DR EL YAAGOUBI Kenza

  • DR FRANCESE Giulia

  • DR KACZMAREK Bastien